上海市第一人民医院酒泉医院(酒泉市人民医院)

新闻详情

【新业务新技术】精准纠偏 膝望未来——我院新院区骨科成功开展酒嘉地区首例“HTO保膝手术” 开启个性化治疗新篇章

发表时间:2025-09-01 21:31作者:新院区骨科

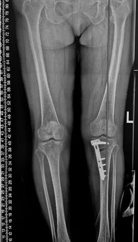
近日,我院新院区骨科成功完成了酒嘉地区首例“胫骨高位截骨术”(High Tibial Osteotomy, 简称HTO)。这不仅仅是一项新技术的简单应用,更是科室秉承 “精准医疗、个体施治” 现代理念的生动实践,标志着我院乃至酒嘉地区在膝关节骨关节炎的治疗策略上,实现了从“单一换膝”到 “多元保膝” 的重大跨越,为患者提供了更丰富、更精准的个性化选择。



患者酷爱运动,因“O型腿”,膝关节内侧疼痛难忍就诊,新院区骨科关节组医师团队深入践行个性化治疗理念:每位患者的年龄、职业、活动需求、病变程度都独一无二,要为其“量体裁衣”,制定最佳方案。经过细致的影像学评估和数据分析,团队发现该患者病变仅局限于膝关节内侧间室,外侧软骨和韧带功能良好,完全符合HTO手术的“精准适应证”。术前,团队利用数字化技术进行了精确的截骨模拟和力线规划,确保了手术方案的“毫米级”精准度。

手术中,关节组医师团队凭借精湛技艺,犹如一位“骨骼工程师”,精确地调整了患者的下肢力线,将压力从磨损的内侧成功转移至健康的外侧。术后患者膝关节疼痛症状迅速缓解,并于次日开启康复训练,重燃运动希望。


“HTO手术的成功,象征着我们骨科治疗理念的升级。” 关节组医师指出,“它和膝关节置换术不是替代关系,而是互补共赢的‘组合拳’。对于合适的中早期患者,HTO是保膝首选;对于终末期患者,置换术仍是金标准。核心在于‘精准评估’与‘个体化选择’,让技术在合适的病人身上发挥最大价值”。

此次HTO技术的成功开展,彻底打破了酒嘉地区膝关节骨关节炎只能“一换了之”的传统局面,构建起了 “保守治疗-微创保膝-关节置换” 的阶梯化、多元化诊疗新体系。这不仅赋予了患者更多的治疗选择权,也极大地提升了其远期生活质量。

未来,新院区骨科将继续以精准化和个体化为引擎,驱动膝关节疾病诊疗水平持续提升,为本地区百姓带来更先进、更多元、更人性化的医疗体验,真正实现“病有所医”到“病有优医”的升级。

Copyright 2024 上海市第一人民医院酒泉医院(酒泉市人民医院)
地址:甘肃省酒泉市肃州区风电大道9号     电话:0937-6982222 新城院区:0937-6982038    老院区:0937-6982071 邮箱:jqsyyywb@163.com
服务号
订阅号
头条号
抖音号